用于乙型肝炎治疗的具有抗乙肝病毒和肝脏保护作用的口山酮化合物合成技术
项目简介
乙型病毒性肝炎(viral hepatitis type B)是由乙型肝炎病毒引起的以肝脏病变为主的一种传染病。慢性乙型肝炎是指乙肝病毒检测为阳性,病程超过半年或发病日期不明确而临床有慢性肝炎表现者。如若得不到及时的治疗,将会发展为肝硬化甚至肝癌。目前乙肝抗病毒药主要分为核苷类抗病毒药物以及干扰素,核苷类停药会复发,易产生耐药性。而干扰素,副作用大,治疗药物极其缺乏。
本项目包括两部分,其一是以提取分离得到的口山酮类化合物为代表的紫红獐牙菜化学成分通过抑制HBsAg和HBeAg表达等作用实现抗病毒和保肝作用。
A、1,7-羟基-3,4甲氧基口山酮(1)、当药醇苷(4)和7-O-[α-L-吡喃鼠李糖基-(1→2)-β-D-吡喃木糖基] -1,8-二羟基-3-甲氧基口山酮(5)对HepG 2.2.15细胞HBsAg的表达呈现出非常强的抑制作用,其抑制率分别为31.74%、25.37%和37.66%,显著高于阳性对照药齐墩果酸对HepG2.2.15细胞HBsAg的抑制率(阳性对照药齐墩果酸对HepG2.2.15细胞HBsAg的抑制率为22.58%);
B、7-O-[α-L-吡喃鼠李糖基-(1→2)-β-D-吡喃木糖基] -1,8-二羟基-3-甲氧基口山酮(5)对HepG2.2.15细胞HBeAg的表达呈现出最为显著的抑制作用,其抑制率达到了31.72%,显著高于阳性对照药齐墩果酸对HepG2.2.15细胞HBeAg的抑制率(阳性对照药齐墩果酸对HepG2.2.15细胞HBeAg的抑制率仅为8.27%)。
其二是提取分离的化合物1,7-二羟基-3,4,8-三甲氧基口山酮(ZYC-6)对于DMN诱导的肝纤维化大鼠具有确切的治疗作用,通过降低ALT和AST等肝酶活性,经由氧化应激通路、凋亡通路以及氨基酸调节,抗肝纤维化作用和保护肝脏作用。
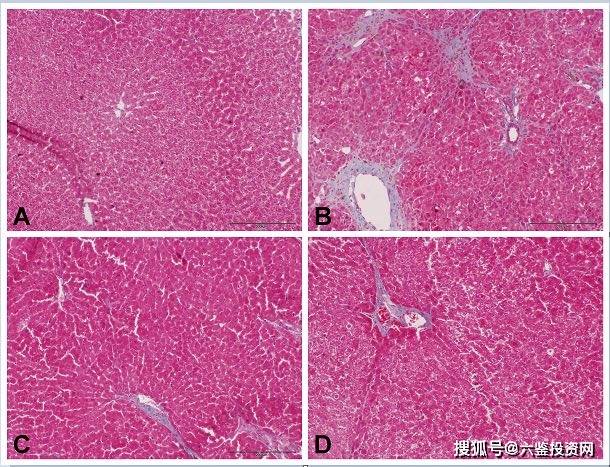
ZYC-6对二甲基亚硝胺(Dimethylvinphos,DMN)模型大鼠肝组织胶原纤维沉积的影响(Masson染色);A:正常组大鼠;B:模型组大鼠;C:ZYC-6组大鼠;D:阳性药IFN-α2b组大鼠。

应用范围
化合物1,4,5用于抗乙肝病毒和化合物ZYC-6可用于肝纤维化的治疗。流行病学结果表明,我国每年有超过120万人出现病毒性肝炎发病,假设仅仅10%的病人(12万)接受10000元的抗病毒或抗纤维化等治疗,则年销售额可望达到12亿元。
项目阶段
本项目处于临床前研究阶段。有成熟的中药提取工艺,体外实验表明化合物1,4,5具有抗乙肝病毒作用。化合物ZYC-6在整体动物模型上具有较好的抗肝纤维化作用和保肝作用,显著降低ALT、AST和TBIL水平,显著提高ALB水平,显著降低羟脯氨酸含量,显著降低α-SMA和TGF-β1表达,显著提高SOD水平同时显著降低MDA水平,防止GSH耗竭,恢复GST活性,降低GSH-PX活性,减少DMN代谢氧自由基的产生,显著抑制肝脏细胞凋亡,调节胆汁酸和氨基酸平衡。5 mg/kg给药剂量,口服给药4周,具有显著抗肝纤维化作用和保护肝脏作用。

知识产权
该项目两部分均已获得发明专利授权。
合作方式
技术转让。联系方式 六鉴投资网 免技术中介费